こんなお悩みありませんか?

銀歯を白く綺麗な歯にしたい

銀歯などの金属は口元の審美性を著しく低下させます。ノンメタル素材のセラミックなら天然歯のような被せ物ができ、歯肉の黒ずみの心配もありません。

透明感のある
白く美しい歯が欲しい

劣化するプラスチックとは違い、セラミックは長く綺麗で丈夫な状態を保ちます。天然歯と見分けがつかない透明感のある歯を手に入れることができます。

歯並びが悪く
笑うのが恥ずかしい

矯正を伴う審美治療は、医院と技工所の連携が重要となる難易度の高い治療です。当院では丁寧な診査・診断をもとに、審美性と機能性を両立させる治療を行います。

福山デンタルクリニックの
セラミック治療が
選ばれる理由

有名技工所による
高品質なセラミック

当院が提携する技工所は精度の高さと徹底的な美しさが魅力です。歯と被せ物の隙間がなく、虫歯の再発が起きにくい素晴らしい作品を作ってくれます。咬み合わせにも配慮された高品質なセラミックを提供します。

審美と機能を両立させる
たしかな技術力

被せ物を長持ちさせるため、特に重要となるのは咬み合わせです。咬み合わせが悪いと被せ物が壊れてしまいます。
当院によるお客様の長期的な利益に繋がる診療と高品質なセラミックにより、審美性と機能性を両立した治療を行います。

矯正治療や根管治療まで
複雑なケースも対応

綺麗なセラミック治療を受ける前に考えないといけないことがあります。それは「その歯が長持ちするか?」です。特に、神経を取って膿んでいる歯は、先に根管治療が必要となります。当院ではマイクロスコープを用いた精度の高い根管治療を提供しております。審美性だけではない複雑なケースも安心して治療が可能です。

治療例紹介

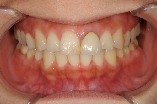
前歯1本のケース

保険の被せ物をやりなおしたケースです。 被せ物がきれいになったのはもちろんのこと、「周りの環境を整えてから被せなおす」という戦術を用いて審美と機能を両立いたしました。

セラミック治療前の口内 セラミック治療後の口内

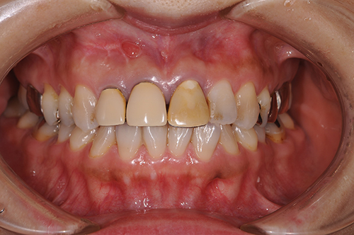
1本治療のケース

歯の幅に制限があるケースです。歯並びに問題があり前医でセラミック治療を受けていました。対象箇所をやり直し見える面をできるだけ左右対称に整えることができました。セラミック治療と言っても歯科医院、技工所によって差が出るわかりやすいケースといえます。

セラミック治療前の口内 セラミック治療後の口内

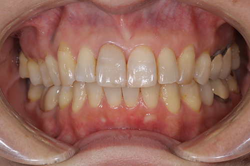
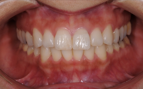
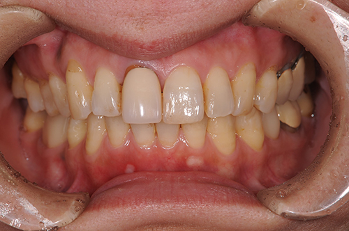
多数歯治療のケース

多数歯を治療する際にもっとも大事なことは「診査・診断」そして「ゴールセッティング」です。具体的にいえば、前歯は本当にきれいになるのか?下の歯と咬んで機能するのか?審美と機能の調和をあらかじめ予測できる技術力があることです。

セラミック治療前の口内 セラミック治療後の口内

料金例

部分的なセラミック
60,500円~
  • 歯の一部がセラミックの場合
  • ジルコニアも同料金です
被せ物のセラミック
121,000円~
  • 歯をすべて覆う場合
  • ジルコニアも同料金です
最高レベルの被せ物
181,500円~
  • ジルコニアも同料金です

院長紹介

院長 福山房之助
ご挨拶
当院では患者様ひとりひとりが満足のいくような治療を日々心がけています。また、患者様が快適で安心して治療を受けられるような環境をめざしています。
不安なこと、わからないことはできるだけ丁寧に説明し、納得のいく、その人その人にあった、治療方針を心がけています。患者様にとって本当に必要な情報を提供し、より良いゴールを得られるよう一緒に頑張りましょう。
略歴
神戸高校 卒業
九州大学歯学部 卒業
認定
日本顎咬合学会咬み合せ認定医
日本顕微鏡歯科学会認定医
UCLAにてCERTIFICATE OF COMPLETION

院長 福山 房之助

当院までのアクセス

  •  JR神戸線 甲南山手駅下車 徒歩3分
  •  〒658-0011
    神戸市東灘区森南町1丁目10-2
    カームネスト甲南山手102
  •  お車でお越しの際は
    セルバの駐車場をご利用ください。
  •  お電話での問合せ:078-431-4444
休診日
木曜日・日曜日・祝日
診療時間
午前9:30~13:00/午後14:30~19:00
※土曜日午後の診察は17:00迄です。